Perdita della dimensione verticale: il ruolo di bruxismo e malocclusione
Francesco Fico • 1 aprile 2026
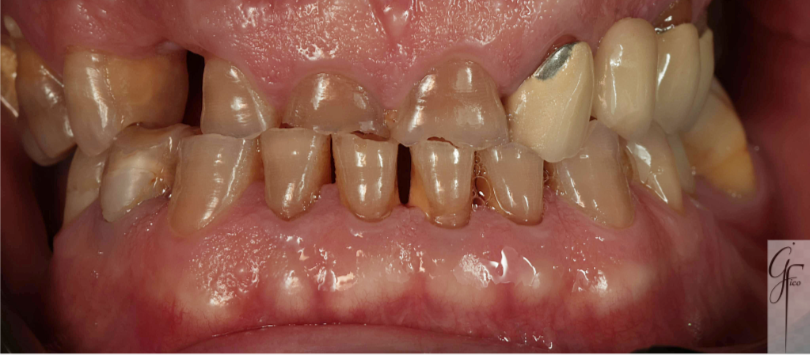
Ti è mai capitato di notare denti più corti, un sorriso cambiato o una sensazione di tensione alla mandibola?
Spesso questi segnali vengono sottovalutati o attribuiti semplicemente allo stress. In realtà, possono indicare una perdita della dimensione verticale, una condizione che non riguarda solo i denti, ma l’equilibrio complessivo del viso e della funzione masticatoria.
Nella maggior parte dei casi, alla base di questo problema ci sono bruxismo e malocclusione, due condizioni molto diffuse che, nel tempo, possono portare a un’usura progressiva dei denti e a cambiamenti anche visibili del volto.
Riconoscere questi segnali precocemente è fondamentale per intervenire in modo semplice ed evitare trattamenti più complessi in futuro.

Che cos’è la dimensione verticale?
La dimensione verticale occlusale (DVO) è la distanza tra mascella e mandibola quando i denti sono in contatto.
Questa dimensione è fondamentale per:
- una corretta masticazione
- l’equilibrio dei muscoli
- la salute delle articolazioni temporo-mandibolari
- l’armonia del volto
Quando si riduce, l’organismo prova ad adattarsi, ma nel tempo questi adattamenti possono diventare fonte di disturbi.
Bruxismo: il principale motore dell’usura dentale
Il bruxismo è una parafunzione caratterizzata dal serramento o digrignamento dei denti, spesso in modo inconsapevole.
Molti pazienti non si accorgono di avere questo problema, perché si manifesta soprattutto durante il sonno.
Effetti sulla dimensione verticale:
Il bruxismo può provocare:
- usura progressiva dello smalto
- appiattimento dei denti
- riduzione della loro altezza
Con il tempo questo porta a:
- perdita di supporto tra le arcate
- riduzione della dimensione verticale
Malocclusione: un fattore che peggiora il problema
La malocclusione riguarda un’alterazione dei rapporti tra i denti delle due arcate.
Non sempre causa direttamente la perdita della dimensione verticale, ma spesso la accelera.
Può determinare:
- contatti non corretti tra i denti
- distribuzione irregolare delle forze
- sovraccarico su alcune zone
Questo favorisce:
- usura localizzata
- instabilità dell’occlusione
- peggioramento del quadro nel tempo
Bruxismo e malocclusione: quando agiscono insieme
Quando bruxismo e malocclusione sono presenti contemporaneamente, i loro effetti si amplificano.
- Il bruxismo aumenta le forze sui denti
- La malocclusione le distribuisce in modo scorretto
Il risultato è:
- consumo dentale più rapido
- perdita di altezza dei denti
- progressiva riduzione della dimensione verticale
Diagnosi: perché è importante intervenire presto
Una diagnosi precoce permette spesso di intervenire in modo più semplice e conservativo.
La valutazione include:
- analisi dell’occlusione
- osservazione dell’usura dentale
- studio della dimensione verticale
Presso il nostro studio dentistico ad Afragola, ci occupiamo della diagnosi e del trattamento della perdita della dimensione verticale con un approccio personalizzato, basato sulle esigenze specifiche di ogni paziente.
Approccio terapeutico
Il trattamento varia in base alla gravità del caso, ma segue generalmente più fasi.
Controllo del bruxismo
- bite plane (dispositivo di protezione)
- gestione dei fattori predisponenti
Stabilizzazione dell’occlusione
- correzione dei contatti dentali
- riduzione delle interferenze
Ripristino della dimensione verticale
- rialzo occlusale graduale
- utilizzo di bite diagnostici
Riabilitazione protesica
Nei casi più avanzati si interviene con restauri dentali:
- restauri adesivi
- faccette
- corone
- ponti in ceramica
I ponti in ceramica sono particolarmente utili quando:
- sono presenti denti mancanti
- è necessario ripristinare funzione ed estetica
- si lavora a una nuova dimensione verticale
Grazie ai materiali moderni, permettono risultati:
- naturali dal punto di vista estetico
- stabili nel tempo
- funzionalmente efficaci
La perdita della dimensione verticale è un processo lento, ma con conseguenze importanti se trascurato.
Il bruxismo e la malocclusione sono tra le cause più frequenti, ma anche tra le condizioni che, se intercettate in tempo, possono essere trattate con successo.
Intervenire precocemente significa:
- proteggere i denti
- migliorare il comfort quotidiano
- preservare l’armonia del sorriso e del volto
Prendersi cura del proprio sorriso oggi è il modo migliore per evitare problemi più complessi domani.






